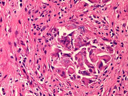
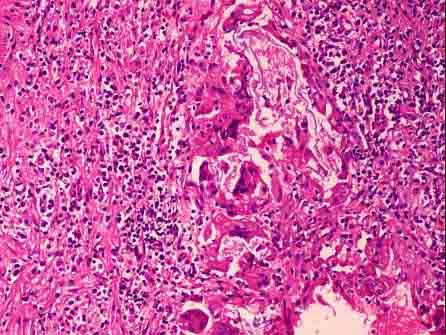
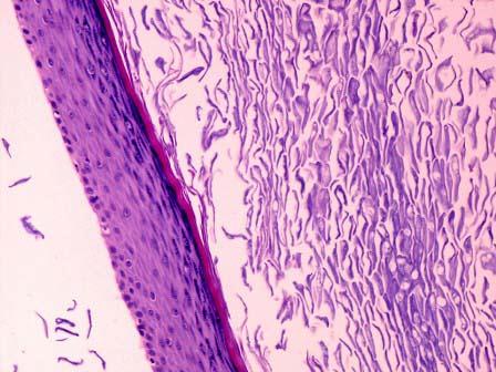
如图,背部皮下肿块切除,病理诊断为“表皮囊肿”,镜下见真皮内异位鳞状上皮角化,形成囊肿,囊肿部分破裂,巨噬细胞等围绕形成结节(如图所示)。此结节病变应称 ...

作者: rantiku 人气: - 评论: 0
问题 如图,背部皮下肿块切除,病理诊断为“表皮囊肿”,镜下见真皮内异位鳞状上皮角化,形成囊肿,囊肿部分破裂,巨噬细胞等围绕形成结节(如图所示)。此结节病变应称 ( )
选项 A.脓肿 B.结核结节 C.异物肉芽肿 D.机化 E.钙化
答案 C
解析

猜你喜欢

发表评论
更多 网友评论0 条评论)
暂无评论

访问排行

Copyright © 2012-2014 恰考网 Inc. 保留所有权利。 Powered by tikuer.com

页面耗时0.0405秒, 内存占用1.03 MB, Cache:redis,访问数据库18次