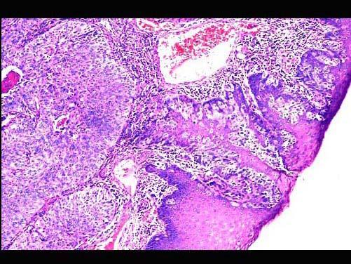
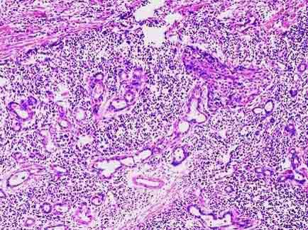
患者男性,58岁,进行性声嘶2月,伴吞咽困难,临床检查示喉部新生物。活检镜下如图,正确的诊断是 ( )A.喉乳头状瘤B.喉恶性淋巴瘤侵及固有腺...

作者: rantiku 人气: - 评论: 0
问题 患者男性,58岁,进行性声嘶2月,伴吞咽困难,临床检查示喉部新生物。活检镜下如图,正确的诊断是 ( )
选项 A.喉乳头状瘤 B.喉恶性淋巴瘤侵及固有腺体 C.喉低分化鳞状细胞癌侵及固有腺体 D.喉腺癌 E.喉高分化鳞状细胞癌侵及固有腺体
答案 C
解析

猜你喜欢

发表评论
更多 网友评论0 条评论)
暂无评论

访问排行

Copyright © 2012-2014 恰考网 Inc. 保留所有权利。 Powered by tikuer.com

页面耗时0.0415秒, 内存占用1.03 MB, Cache:redis,访问数据库20次