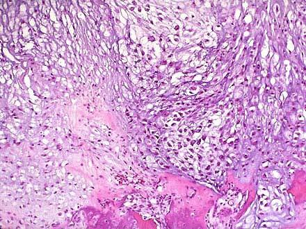
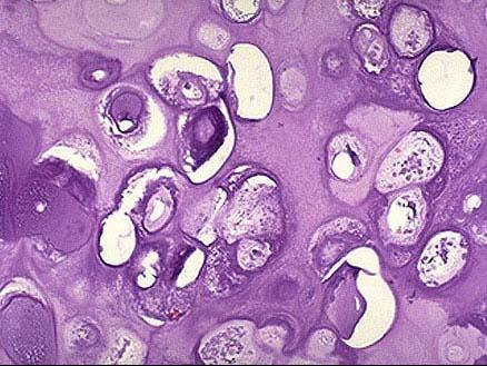
患者,男,56岁,坐骨肿瘤切除,肿瘤位于骨髓腔内,灰白色分叶状,切面可见黄色的钙化和骨化灶。镜下如图1、2所示软骨基质中散布异型软骨细胞。正确的诊断是 (...

作者: rantiku 人气: - 评论: 0
问题 患者,男,56岁,坐骨肿瘤切除,肿瘤位于骨髓腔内,灰白色分叶状,切面可见黄色的钙化和骨化灶。镜下如图1、2所示软骨基质中散布异型软骨细胞。正确的诊断是 ( )
选项 A.软骨瘤 B.软骨肉瘤 C.骨软骨瘤 D.骨肉瘤 E.骨纤维肉瘤
答案 B
解析

猜你喜欢

发表评论
更多 网友评论0 条评论)
暂无评论

访问排行

Copyright © 2012-2014 恰考网 Inc. 保留所有权利。 Powered by tikuer.com

页面耗时0.0556秒, 内存占用1.03 MB, Cache:redis,访问数据库13次