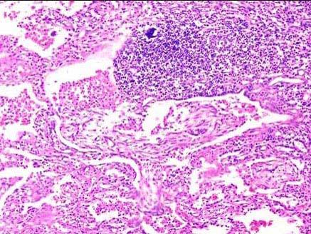
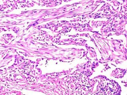
患者,1月前因高热,咳铁锈色痰伴呼吸困难入院。经治疗临床症状消失,但肺下叶实变灶不消失,手术切除,镜检如图所示,正确的诊断是 ( )A.吸入性肺炎...

作者: rantiku 人气: - 评论: 0
问题 患者,1月前因高热,咳铁锈色痰伴呼吸困难入院。经治疗临床症状消失,但肺下叶实变灶不消失,手术切除,镜检如图所示,正确的诊断是 ( )
选项 A.吸入性肺炎 B.矽肺 C.肺肉质变 D.肺脓肿 E.肺癌
答案 C
解析

猜你喜欢

发表评论
更多 网友评论0 条评论)
暂无评论

访问排行

Copyright © 2012-2014 恰考网 Inc. 保留所有权利。 Powered by tikuer.com

页面耗时0.0361秒, 内存占用1.03 MB, Cache:redis,访问数据库19次