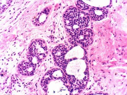
患者女性,45岁。左乳腺包块2年,镜检如图所示乳腺小叶导管和腺泡上皮细胞的增生、导管囊状扩张,层次增多,轻度异型,局部呈筛状结构,间质纤维组织增生。则该病...

作者: rantiku 人气: - 评论: 0
问题 患者女性,45岁。左乳腺包块2年,镜检如图所示乳腺小叶导管和腺泡上皮细胞的增生、导管囊状扩张,层次增多,轻度异型,局部呈筛状结构,间质纤维组织增生。则该病变的诊断是 ( )
选项 A.乳腺纤维腺瘤 B.乳腺小叶癌 C.乳腺增生性纤维囊性变 D.浸润性导管癌 E.硬化性腺病
答案 C
解析

猜你喜欢

发表评论
更多 网友评论0 条评论)
暂无评论

访问排行

Copyright © 2012-2014 恰考网 Inc. 保留所有权利。 Powered by tikuer.com

页面耗时0.0422秒, 内存占用1.03 MB, Cache:redis,访问数据库19次