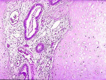
患者女性,24岁,体检时发现肺部有一高密度影,手术切除,术中见肿块境界不清,无包膜,病检镜下如图所示:肿块由增生的软骨,血管,纤维组织,腺腔等组成。可能的...

作者: rantiku 人气: - 评论: 0
问题 患者女性,24岁,体检时发现肺部有一高密度影,手术切除,术中见肿块境界不清,无包膜,病检镜下如图所示:肿块由增生的软骨,血管,纤维组织,腺腔等组成。可能的诊断是 ( )
选项 A.肺腺癌 B.肺结核球 C.肺转移瘤 D.肺错构瘤 E.肺鳞状细胞癌
答案 D
解析

猜你喜欢

发表评论
更多 网友评论0 条评论)
暂无评论

访问排行

Copyright © 2012-2014 恰考网 Inc. 保留所有权利。 Powered by tikuer.com

页面耗时0.0344秒, 内存占用1.03 MB, Cache:redis,访问数据库19次