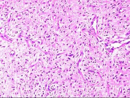
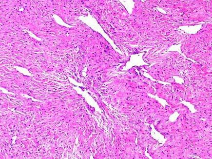
患者,男,18岁,鼻塞、鼻出血,鼻腔镜检查见一鲜红色圆形肿物凸向鼻腔,约2cm×1cm×0.5cm大小,表面光滑,活检如图1、2所示,正确的诊断是 ( )...

作者: rantiku 人气: - 评论: 0
问题 患者,男,18岁,鼻塞、鼻出血,鼻腔镜检查见一鲜红色圆形肿物凸向鼻腔,约2cm×1cm×0.5cm大小,表面光滑,活检如图1、2所示,正确的诊断是 ( )
选项 A.鼻息肉 B.鼻腔内翻性乳头状瘤 C.鼻腔纤维肉瘤 D.鼻腔淋巴瘤 E.鼻腔纤维血管瘤
答案 E
解析

猜你喜欢

发表评论
更多 网友评论0 条评论)
暂无评论

访问排行

Copyright © 2012-2014 恰考网 Inc. 保留所有权利。 Powered by tikuer.com

页面耗时0.0358秒, 内存占用1.03 MB, Cache:redis,访问数据库19次