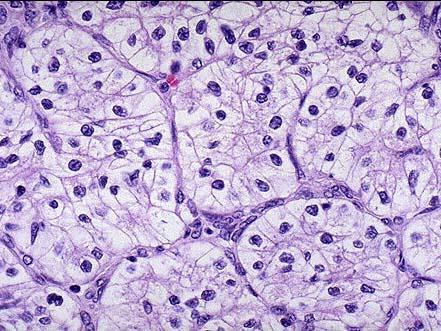
男性,60岁,腰部疼痛不适3个月。B超示左肾下极肿物。明确诊断后行左肾切除术,患肾大体如图所示,镜下如图所示,关于该疾病说法错误的是 ( )A.发...

作者: rantiku 人气: - 评论: 0
问题 男性,60岁,腰部疼痛不适3个月。B超示左肾下极肿物。明确诊断后行左肾切除术,患肾大体如图所示,镜下如图所示,关于该疾病说法错误的是 ( )
选项 A.发生部位以肾上下极多见 B.透明细胞癌为最常见的类型,占肾细胞癌的70%~80% C.起源于肾小管上皮细胞 D.烟草与该病的发生无关 E.可出现副肿瘤综合征
答案 D
解析

猜你喜欢

发表评论
更多 网友评论0 条评论)
暂无评论

访问排行

Copyright © 2012-2014 恰考网 Inc. 保留所有权利。 Powered by tikuer.com

页面耗时0.0843秒, 内存占用1.03 MB, Cache:redis,访问数据库17次