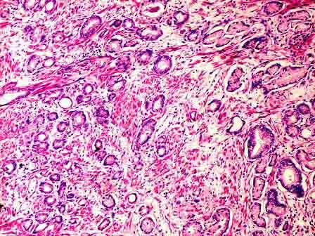
男性,78岁,排尿不畅,腰腿痛4个月,经直肠彩超引导下前列腺穿刺活检,显微镜下见腺体结构紊乱,形状大小不一(如图),细胞有异型,核仁显著,腺体外层基底细胞...

作者: rantiku 人气: - 评论: 0
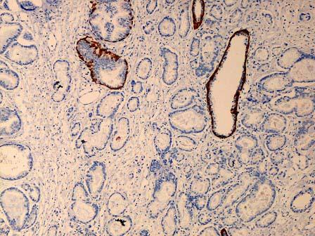
问题 男性,78岁,排尿不畅,腰腿痛4个月,经直肠彩超引导下前列腺穿刺活检,显微镜下见腺体结构紊乱,形状大小不一(如图),细胞有异型,核仁显著,腺体外层基底细胞消失,免疫组化P63染色如图,该患者应诊断为 ( )
选项 A.慢性前列腺炎 B.前列腺结节样增生 C.前列腺低级别上皮内瘤变 D.前列腺高级别上皮内瘤变 E.前列腺癌
答案 E
解析

猜你喜欢

发表评论
更多 网友评论0 条评论)
暂无评论

访问排行

Copyright © 2012-2014 恰考网 Inc. 保留所有权利。 Powered by tikuer.com

页面耗时0.0304秒, 内存占用1.03 MB, Cache:redis,访问数据库20次