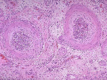
某肾移植患者出现慢性排斥反应后治疗无效死亡,其肾脏镜下如图所示,关于慢性排斥反应的说法错误的是 ( )A.其突出的病变是血管内膜纤维化B.肉眼观,...

作者: rantiku 人气: - 评论: 0
问题 某肾移植患者出现慢性排斥反应后治疗无效死亡,其肾脏镜下如图所示,关于慢性排斥反应的说法错误的是 ( )
选项 A.其突出的病变是血管内膜纤维化 B.肉眼观,肾体积明显缩小,并有多少不等的瘢痕 C.肾缺血是由于动脉内膜纤维化引起的管腔严重狭窄 D.患者肾功能呈进行性减退,但其程度与间质纤维化和肾小球、肾小管萎缩的程度不成正比 E.镜下可见肾小球毛细管袢萎缩、纤维化、玻璃样变,肾小管萎缩。
答案 D
解析

猜你喜欢

发表评论
更多 网友评论0 条评论)
暂无评论

访问排行

Copyright © 2012-2014 恰考网 Inc. 保留所有权利。 Powered by tikuer.com

页面耗时0.0338秒, 内存占用1.03 MB, Cache:redis,访问数据库17次