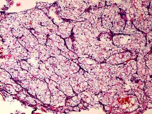
男性,45岁。B超发现左肾肿物2个月。考虑为肾脏肿瘤,行左肾切除术,患肾大体如图所示,镜检如图所示,正确诊断为 ( )A.左肾透明细胞癌Ⅰ级 ...

作者: rantiku 人气: - 评论: 0
问题 男性,45岁。B超发现左肾肿物2个月。考虑为肾脏肿瘤,行左肾切除术,患肾大体如图所示,镜检如图所示,正确诊断为 ( )
选项 A.左肾透明细胞癌Ⅰ级 B.左肾细胞癌(肉瘤样型) C.左肾颗粒细胞癌 D.左肾乳头状腺癌 E.左肾梭形细胞癌
答案 A
解析

猜你喜欢

发表评论
更多 网友评论0 条评论)
暂无评论

访问排行

Copyright © 2012-2014 恰考网 Inc. 保留所有权利。 Powered by tikuer.com

页面耗时0.0364秒, 内存占用1.03 MB, Cache:redis,访问数据库18次