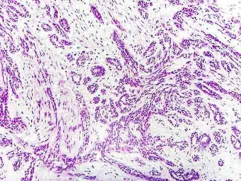
女性,30岁,发现左乳硬块2cm×1cm×1cm 2个月余,局部皮肤有皱起。行肿块切除,大体肿块灰白质硬,与周围乳腺界限不清。低倍镜下小叶轮廓存在,腺管增...

作者: rantiku 人气: - 评论: 0
问题 女性,30岁,发现左乳硬块2cm×1cm×1cm 2个月余,局部皮肤有皱起。行肿块切除,大体肿块灰白质硬,与周围乳腺界限不清。低倍镜下小叶轮廓存在,腺管增生变形,但肌上皮细胞明显可见(如图),应诊断为 ( )
选项 A.乳腺小管癌 B.放射状瘢痕 C.硬化性腺病 D.盲管腺病 E.纤维囊性病
答案 C
解析

猜你喜欢

发表评论
更多 网友评论0 条评论)
暂无评论

访问排行

Copyright © 2012-2014 恰考网 Inc. 保留所有权利。 Powered by tikuer.com

页面耗时0.0379秒, 内存占用1.03 MB, Cache:redis,访问数据库20次