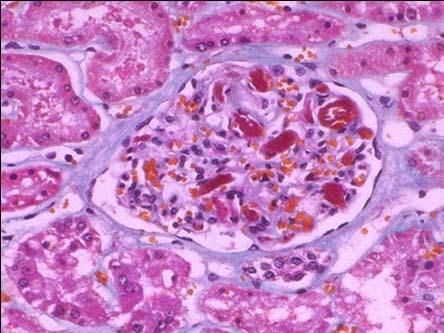
溶血性尿毒综合征患者的肾脏镜检可出现如图所示的改变,关于该疾病下列说法错误的是 ( )A.疾病早期镜检可见肾小动脉和细动脉内膜和内膜下脂质沉积和纤维素...

作者: rantiku 人气: - 评论: 0
问题 溶血性尿毒综合征患者的肾脏镜检可出现如图所示的改变,关于该疾病下列说法错误的是 ( )
选项 A.疾病早期镜检可见肾小动脉和细动脉内膜和内膜下脂质沉积和纤维素样坏死、血栓形成和内皮细胞增生 B.疾病晚期镜检见小动脉和细动脉内膜增厚和嗜碱性黏液样变性 C.该疾病属于一种伴DIC的肾小球病 D.该疾病以微血管病性溶血性贫血、血小板减少性紫癜和氮质血症为临床特征 E.是小儿急性肾功能衰竭常见的原因
答案 A
解析

猜你喜欢

发表评论
更多 网友评论0 条评论)
暂无评论

访问排行

Copyright © 2012-2014 恰考网 Inc. 保留所有权利。 Powered by tikuer.com

页面耗时0.0521秒, 内存占用1.03 MB, Cache:redis,访问数据库20次