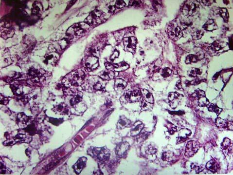
男性,35岁,睾丸无痛性肿块,大小3cm×3cm×4cm,肿块境界不清,切面灰白、灰红,局灶出血、坏死(如图),显微镜下如图,应诊断为 ( )A....

作者: rantiku 人气: - 评论: 0
问题 男性,35岁,睾丸无痛性肿块,大小3cm×3cm×4cm,肿块境界不清,切面灰白、灰红,局灶出血、坏死(如图),显微镜下如图,应诊断为 ( )
选项 A.精原细胞瘤 B.卵黄囊瘤 C.绒毛膜上皮癌 D.胚胎性癌 E.以上都不是
答案 D
解析

猜你喜欢

发表评论
更多 网友评论0 条评论)
暂无评论

访问排行

Copyright © 2012-2014 恰考网 Inc. 保留所有权利。 Powered by tikuer.com

页面耗时0.0533秒, 内存占用1.03 MB, Cache:redis,访问数据库17次