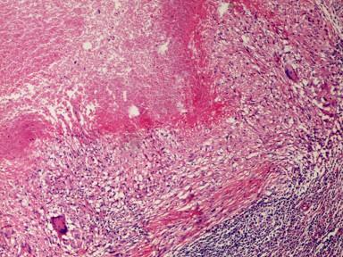
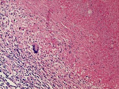
患者,女,18岁,近感疲倦、低热,左侧颈部淋巴结肿大,行一般抗炎治疗无效。取活检如图所示,确切的诊断是 ( )A.霍奇金病B.淋巴结结核C...

作者: rantiku 人气: - 评论: 0
问题 患者,女,18岁,近感疲倦、低热,左侧颈部淋巴结肿大,行一般抗炎治疗无效。取活检如图所示,确切的诊断是 ( )
选项 A.霍奇金病 B.淋巴结结核 C.淋巴结转移性腺癌 D.非霍奇金病 E.慢性淋巴结炎
答案 B
解析

猜你喜欢

发表评论
更多 网友评论0 条评论)
暂无评论

访问排行

Copyright © 2012-2014 恰考网 Inc. 保留所有权利。 Powered by tikuer.com

页面耗时0.0392秒, 内存占用1.03 MB, Cache:redis,访问数据库19次