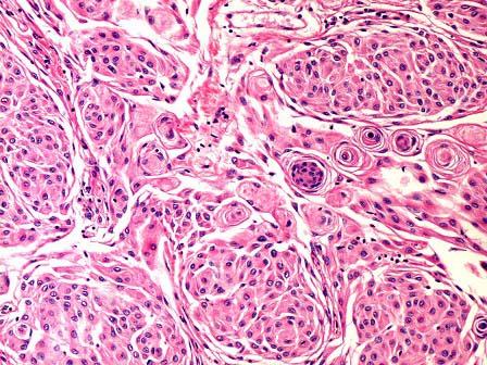
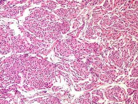
老年女尸,生前行CT检查见矢状窦旁有一低密度影,周边有轻度水肿带。尸检标本大体如图所示,镜检如图所示,请作出诊断 ( )A.矢状窦旁髓母细胞瘤...

作者: rantiku 人气: - 评论: 0
问题 老年女尸,生前行CT检查见矢状窦旁有一低密度影,周边有轻度水肿带。尸检标本大体如图所示,镜检如图所示,请作出诊断 ( )
选项 A.矢状窦旁髓母细胞瘤 B.矢状窦旁星形细胞瘤 C.矢状窦旁室管膜瘤 D.矢状窦旁脑膜瘤 E.矢状窦旁脑脓肿
答案 D
解析

猜你喜欢

发表评论
更多 网友评论0 条评论)
暂无评论

访问排行

Copyright © 2012-2014 恰考网 Inc. 保留所有权利。 Powered by tikuer.com

页面耗时0.0430秒, 内存占用1.03 MB, Cache:redis,访问数据库19次