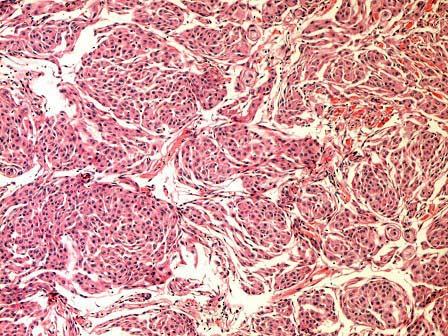
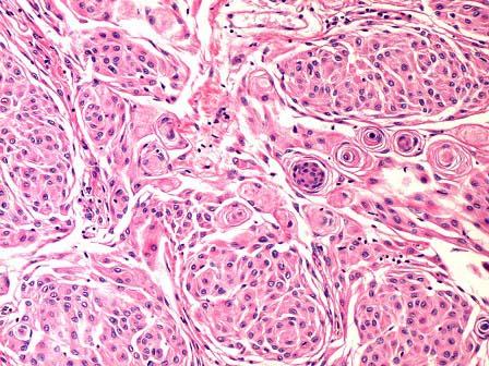
女性,45岁,头痛12年,视力模糊3年。CT示以大脑纵裂为中心的等密度肿块,增加后肿块明显强化。术后肿块大体如图所示,镜检如图所示,该患者所患的疾病是 (...

作者: rantiku 人气: - 评论: 0
问题 女性,45岁,头痛12年,视力模糊3年。CT示以大脑纵裂为中心的等密度肿块,增加后肿块明显强化。术后肿块大体如图所示,镜检如图所示,该患者所患的疾病是 ( )
选项 A.脑膜瘤 B.星形胶质细胞瘤 C.髓母细胞瘤 D.脑血管畸形 E.以上都不正确
答案 A
解析

猜你喜欢

发表评论
更多 网友评论0 条评论)
暂无评论

访问排行

Copyright © 2012-2014 恰考网 Inc. 保留所有权利。 Powered by tikuer.com

页面耗时0.0283秒, 内存占用1.03 MB, Cache:redis,访问数据库18次