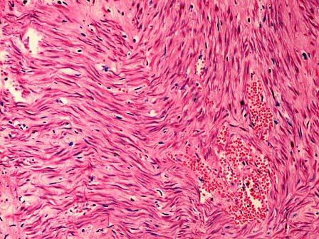
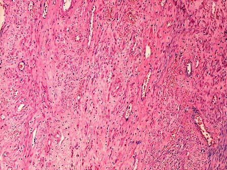
女性,44岁,月经紊乱伴腹胀半年余,B超显示子宫肌瘤。手术切除,大体如图,镜下如图。应诊断为 ( )A.子宫平滑肌瘤B.子宫平...

作者: rantiku 人气: - 评论: 0
问题 女性,44岁,月经紊乱伴腹胀半年余,B超显示子宫肌瘤。手术切除,大体如图,镜下如图。应诊断为 ( )
选项 A.子宫平滑肌瘤 B.子宫平滑肌瘤恶变 C.子宫平滑肌瘤红色变 D.子宫平滑肌肉瘤 E.以上都不是
答案 C
解析

猜你喜欢

发表评论
更多 网友评论0 条评论)
暂无评论

访问排行

Copyright © 2012-2014 恰考网 Inc. 保留所有权利。 Powered by tikuer.com

页面耗时0.0728秒, 内存占用1.03 MB, Cache:redis,访问数据库18次