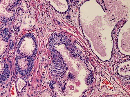
男性,58岁,排尿不畅半年余,检查前列腺肿大,穿刺显微镜下未见癌。行前列腺切除术,术后病理检查见部分腺管细胞层次增多(如图),用鸡尾酒法染色(如图)。应诊...

作者: rantiku 人气: - 评论: 0
问题 男性,58岁,排尿不畅半年余,检查前列腺肿大,穿刺显微镜下未见癌。行前列腺切除术,术后病理检查见部分腺管细胞层次增多(如图),用鸡尾酒法染色(如图)。应诊断为 ( )
选项 A.前列腺良性增生 B.前列腺基底细胞增生 C.低级别上皮内瘤变 D.高级别上皮内瘤变 E.导管内癌
答案 B
解析

猜你喜欢

发表评论
更多 网友评论0 条评论)
暂无评论

访问排行

Copyright © 2012-2014 恰考网 Inc. 保留所有权利。 Powered by tikuer.com

页面耗时0.0439秒, 内存占用1.03 MB, Cache:redis,访问数据库20次