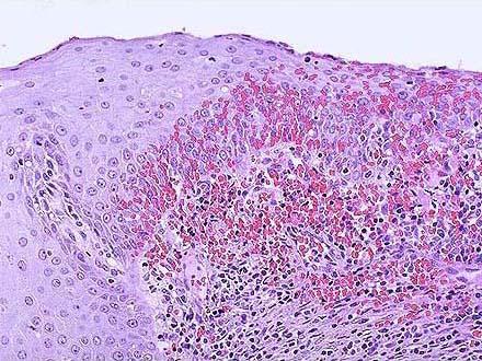
阴道镜示慢性宫颈炎的活检标本,镜检如图所示,该部位的鳞状上皮出现了哪种适应性改变 ( )A.萎缩B.肥大C.增生D.化生E.凋亡

作者: rantiku 人气: - 评论: 0
问题 阴道镜示慢性宫颈炎的活检标本,镜检如图所示,该部位的鳞状上皮出现了哪种适应性改变 ( )
选项 A.萎缩 B.肥大 C.增生 D.化生 E.凋亡
答案 C
解析

猜你喜欢

发表评论
更多 网友评论0 条评论)
暂无评论

访问排行

Copyright © 2012-2014 恰考网 Inc. 保留所有权利。 Powered by tikuer.com

页面耗时0.0357秒, 内存占用1.03 MB, Cache:redis,访问数据库20次