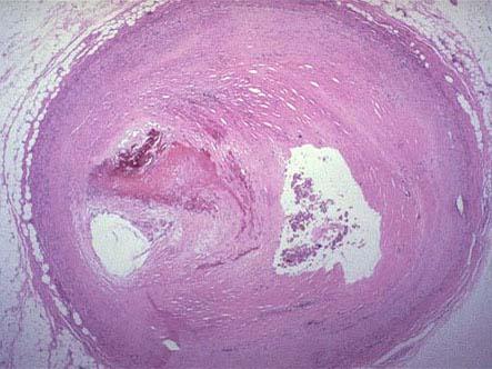
图1示冠状动脉粥样硬化伴血栓形成,图2为血栓干燥收缩,新鲜肉芽组织取代之,这种现象称 ( )A.血栓钙化B.血管壁肉芽肿形成C.血栓溶解、...

作者: rantiku 人气: - 评论: 0
问题 图1示冠状动脉粥样硬化伴血栓形成,图2为血栓干燥收缩,新鲜肉芽组织取代之,这种现象称 ( )
选项 A.血栓钙化 B.血管壁肉芽肿形成 C.血栓溶解、吸收 D.血栓机化、再通 E.以上都不是
答案 D
解析

猜你喜欢

发表评论
更多 网友评论0 条评论)
暂无评论

访问排行

Copyright © 2012-2014 恰考网 Inc. 保留所有权利。 Powered by tikuer.com

页面耗时0.0568秒, 内存占用1.02 MB, Cache:redis,访问数据库13次