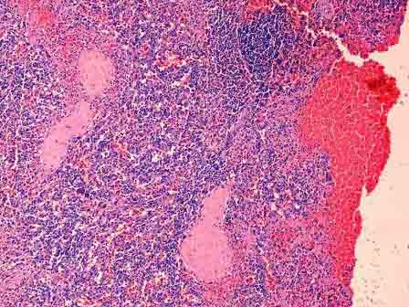
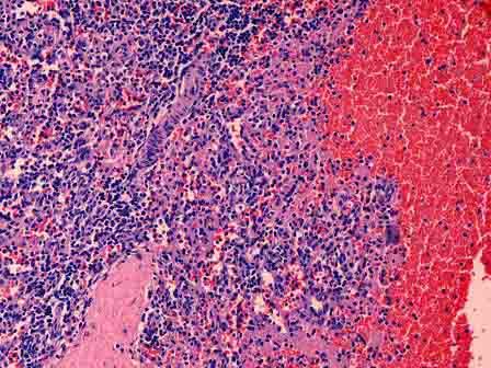
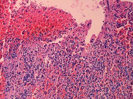
患者女性,27岁。因车祸导致脾脏破裂,手术切除脾脏,术后送检脾脏肿大,表面间两道长3cm的破裂口,镜检如图所示,该病变性质属 ( )A.慢性淤...

作者: rantiku 人气: - 评论: 0
问题 患者女性,27岁。因车祸导致脾脏破裂,手术切除脾脏,术后送检脾脏肿大,表面间两道长3cm的破裂口,镜检如图所示,该病变性质属 ( )
选项 A.慢性淤血 B.静脉性充血 C.动脉性充血 D.破裂性出血 E.以上都不是
答案 D
解析

猜你喜欢

发表评论
更多 网友评论0 条评论)
暂无评论

访问排行

Copyright © 2012-2014 恰考网 Inc. 保留所有权利。 Powered by tikuer.com

页面耗时0.0524秒, 内存占用1.02 MB, Cache:redis,访问数据库13次