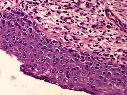
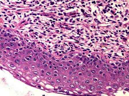
女性,45岁,临床诊断为CIN Ⅱ级,行宫颈LEEP刀锥切术治疗,术后病检如图所示,鳞状上皮增生,异型细胞累及上皮全层的2/3以上,部分区达到全层,正确的...

作者: rantiku 人气: - 评论: 0
问题 女性,45岁,临床诊断为CIN Ⅱ级,行宫颈LEEP刀锥切术治疗,术后病检如图所示,鳞状上皮增生,异型细胞累及上皮全层的2/3以上,部分区达到全层,正确的诊断是 ( )
选项 A.CIN Ⅰ级 B.CIN Ⅱ级 C.CIN Ⅲ级 D.慢性宫颈炎 E.宫颈鳞状细胞癌
答案 C
解析

猜你喜欢

发表评论
更多 网友评论0 条评论)
暂无评论

访问排行

Copyright © 2012-2014 恰考网 Inc. 保留所有权利。 Powered by tikuer.com

页面耗时0.0609秒, 内存占用1.03 MB, Cache:redis,访问数据库18次