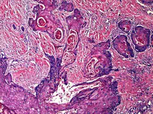
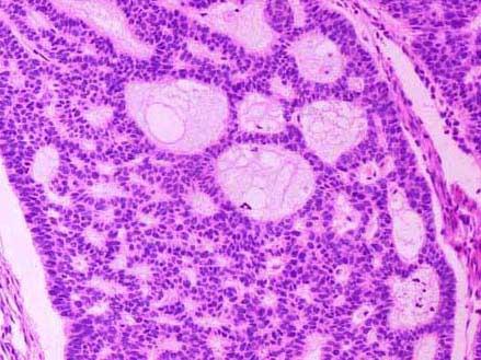
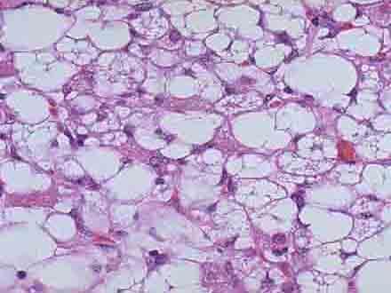
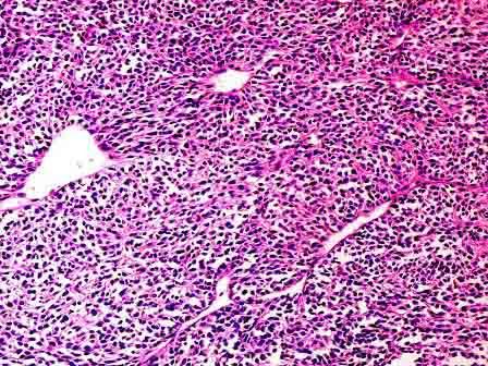
如图均为恶性肿瘤,图1来源于鳞状上皮,图2来源于基底细胞,图3来源于脂肪细胞,图4来源于滑膜,以下依次命名正确的是 ( )A.鳞状细胞癌、...

作者: rantiku 人气: - 评论: 0
问题 如图均为恶性肿瘤,图1来源于鳞状上皮,图2来源于基底细胞,图3来源于脂肪细胞,图4来源于滑膜,以下依次命名正确的是 ( )
选项 A.鳞状细胞癌、基底细胞瘤、脂肪肉瘤、滑膜瘤 B.鳞状细胞癌、基底细胞瘤、脂肪肉瘤、滑膜肉瘤 C.鳞状细胞癌、基底细胞癌、脂肪肉瘤、滑膜肉瘤 D.鳞状细胞癌、基底细胞肉瘤、脂肪肉瘤、滑膜瘤 E.鳞状细胞癌、基底细胞瘤、脂肪瘤、滑膜肉瘤
答案 C
解析

猜你喜欢

发表评论
更多 网友评论0 条评论)
暂无评论

访问排行

Copyright © 2012-2014 恰考网 Inc. 保留所有权利。 Powered by tikuer.com

页面耗时0.0375秒, 内存占用1.02 MB, Cache:redis,访问数据库13次