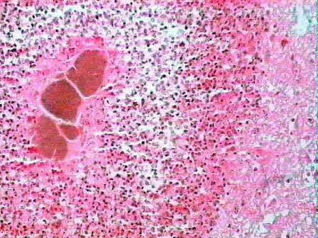
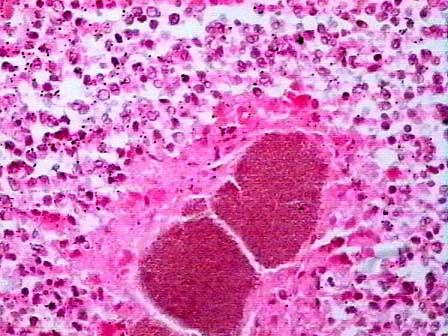
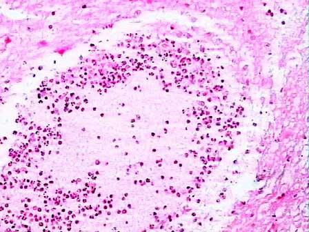
患者,女,8岁。因头痛呕吐,高热入院。大体观如图,镜下可见大量变性坏死中性粒细胞,如图所示。应诊断为 ( )A.流行性脑脊髓膜炎B.流...

作者: rantiku 人气: - 评论: 0
问题 患者,女,8岁。因头痛呕吐,高热入院。大体观如图,镜下可见大量变性坏死中性粒细胞,如图所示。应诊断为 ( )
选项 A.流行性脑脊髓膜炎 B.流行性乙型脑炎 C.转移性癌 D.脑出血 E.脑脓肿
答案 E
解析

猜你喜欢

发表评论
更多 网友评论0 条评论)
暂无评论

访问排行

Copyright © 2012-2014 恰考网 Inc. 保留所有权利。 Powered by tikuer.com

页面耗时0.0373秒, 内存占用1.03 MB, Cache:redis,访问数据库19次