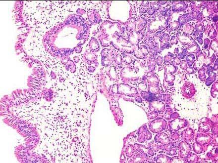
患者,男,27岁,鼻塞、流涕、头痛、咽干一年,该症状在冬季比较明显,鼻腔镜下黏膜粗糙,取活检镜下如图所示,该患者的可能的疾病是 ( )A.急性鼻炎...

作者: rantiku 人气: - 评论: 0
问题 患者,男,27岁,鼻塞、流涕、头痛、咽干一年,该症状在冬季比较明显,鼻腔镜下黏膜粗糙,取活检镜下如图所示,该患者的可能的疾病是 ( )
选项 A.急性鼻炎 B.慢性鼻炎 C.慢性萎缩性鼻炎 D.干酪样鼻炎 E.鼻咽癌
答案 B
解析

猜你喜欢

发表评论
更多 网友评论0 条评论)
暂无评论

访问排行

Copyright © 2012-2014 恰考网 Inc. 保留所有权利。 Powered by tikuer.com

页面耗时0.0329秒, 内存占用1.02 MB, Cache:redis,访问数据库14次