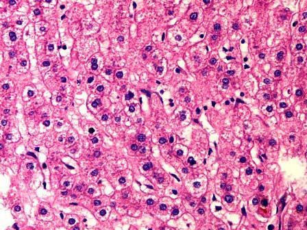
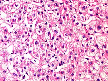
男性死者,尸检时见肝脏肿大,包膜紧张。切面红褐色。镜检如图所示,主要病变有 ( )A.肝细胞水肿B.肝细胞脂肪变性C.间质玻璃样变性D...

作者: rantiku 人气: - 评论: 0
问题 男性死者,尸检时见肝脏肿大,包膜紧张。切面红褐色。镜检如图所示,主要病变有 ( )
选项 A.肝细胞水肿 B.肝细胞脂肪变性 C.间质玻璃样变性 D.假小叶形成 E.碎片状坏死
答案 A
解析

猜你喜欢

发表评论
更多 网友评论0 条评论)
暂无评论

访问排行

Copyright © 2012-2014 恰考网 Inc. 保留所有权利。 Powered by tikuer.com

页面耗时0.0357秒, 内存占用1.03 MB, Cache:redis,访问数据库20次