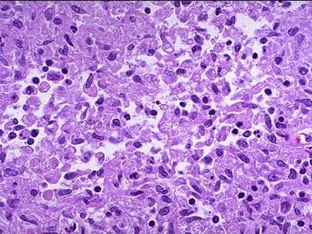
成年男尸,尸检时见其右肾大体实质内一境界较清的灰黄色肿块(如图),镜检见肿块由大量泡沫细胞和上皮样细胞构成的肉芽肿样结构,如图所示,应首先考虑的诊断为 (...

作者: rantiku 人气: - 评论: 0
问题 成年男尸,尸检时见其右肾大体实质内一境界较清的灰黄色肿块(如图),镜检见肿块由大量泡沫细胞和上皮样细胞构成的肉芽肿样结构,如图所示,应首先考虑的诊断为 ( )
选项 A.右肾脓肿 B.右肾盂肾炎 C.右肾结核 D.右肾血管平滑肌脂肪瘤 E.右肾黄色肉芽肿性肾盂肾炎
答案 E
解析

猜你喜欢

发表评论
更多 网友评论0 条评论)
暂无评论

访问排行

Copyright © 2012-2014 恰考网 Inc. 保留所有权利。 Powered by tikuer.com

页面耗时0.0463秒, 内存占用1.03 MB, Cache:redis,访问数据库20次