女性,30岁,阴道不规则出血一周,妊娠试验阳性。妇检子宫4个月妊娠大小,未闻及胎心音。诊刮后送检,大体如图,镜检如图,应考虑为 ( )A....

作者: rantiku 人气: - 评论: 0
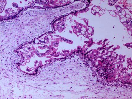
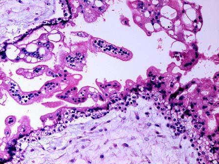
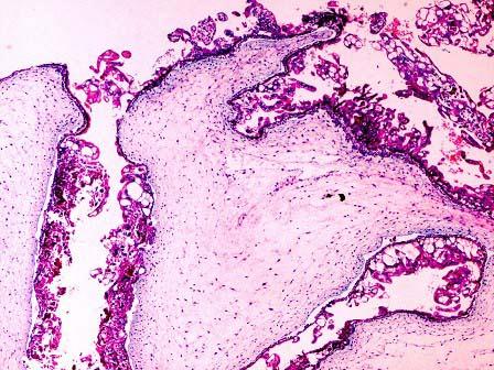
问题 女性,30岁,阴道不规则出血一周,妊娠试验阳性。妇检子宫4个月妊娠大小,未闻及胎心音。诊刮后送检,大体如图,镜检如图,应考虑为 ( )
选项 A.子宫良性葡萄胎 B.子宫绒毛膜上皮癌 C.子宫平滑肌肉瘤 D.子宫平滑肌瘤红色变 E.子宫侵袭性葡萄胎
答案 A
解析

猜你喜欢

发表评论
更多 网友评论0 条评论)
暂无评论

访问排行

Copyright © 2012-2014 恰考网 Inc. 保留所有权利。 Powered by tikuer.com

页面耗时0.0397秒, 内存占用1.03 MB, Cache:redis,访问数据库20次