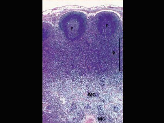
正常淋巴结组织结构如图所示,不正确的叙述为 ( )A.淋巴结由淋巴细胞和网状细胞构成B.淋巴细胞又称免疫活性细胞C.网状细胞又称免疫辅佐细...

作者: rantiku 人气: - 评论: 0
问题 正常淋巴结组织结构如图所示,不正确的叙述为 ( )
选项 A.淋巴结由淋巴细胞和网状细胞构成 B.淋巴细胞又称免疫活性细胞 C.网状细胞又称免疫辅佐细胞 D.网状细胞在演变、分化过程中不会异常增生形成肿瘤 E.淋巴细胞在演变、分化过程中会发生突变而形成肿瘤
答案 D
解析

猜你喜欢

发表评论
更多 网友评论0 条评论)
暂无评论

访问排行

Copyright © 2012-2014 恰考网 Inc. 保留所有权利。 Powered by tikuer.com

页面耗时0.0394秒, 内存占用1.03 MB, Cache:redis,访问数据库18次