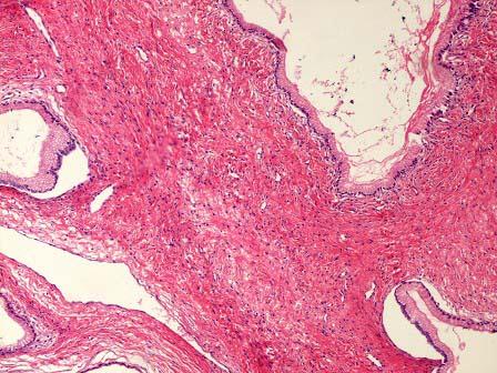
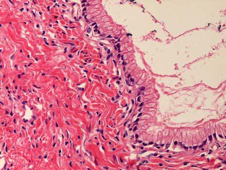
女性,48岁,妇科体检发现盆腔包块11天。行手术切除。大体见卵巢囊性包块20cm×16cm×12cm,多房,内含粘稠的胶冻样物质,囊壁内衬单层柱状上皮,如...

作者: rantiku 人气: - 评论: 0
问题 女性,48岁,妇科体检发现盆腔包块11天。行手术切除。大体见卵巢囊性包块20cm×16cm×12cm,多房,内含粘稠的胶冻样物质,囊壁内衬单层柱状上皮,如图。适合的诊断为 ( )
选项 A.卵巢黏液性囊腺瘤 B.卵巢浆液性囊腺瘤 C.卵巢交界性浆液性囊腺瘤 D.卵巢交界性黏液性囊腺瘤 E.卵巢子宫内膜异位囊肿
答案 D
解析

猜你喜欢

发表评论
更多 网友评论0 条评论)
暂无评论

访问排行

Copyright © 2012-2014 恰考网 Inc. 保留所有权利。 Powered by tikuer.com

页面耗时0.0596秒, 内存占用1.03 MB, Cache:redis,访问数据库13次