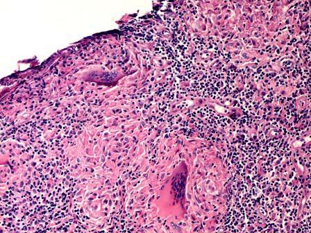
女性,40岁,左侧乳房无痛性肿块半年余。大体见窦道及干酪样坏死区。显微镜下见干酪样坏死、类上皮细胞、郎罕氏巨细胞形成的肉芽肿(如图)。诊断为 ( ) ...

作者: rantiku 人气: - 评论: 0
问题 女性,40岁,左侧乳房无痛性肿块半年余。大体见窦道及干酪样坏死区。显微镜下见干酪样坏死、类上皮细胞、郎罕氏巨细胞形成的肉芽肿(如图)。诊断为 ( )
选项 A.脂肪坏死 B.乳汁潴留性囊肿 C.乳腺导管扩张症 D.结核 E.异物肉芽肿
答案 D
解析

猜你喜欢

发表评论
更多 网友评论0 条评论)
暂无评论

访问排行

Copyright © 2012-2014 恰考网 Inc. 保留所有权利。 Powered by tikuer.com

页面耗时0.0359秒, 内存占用1.03 MB, Cache:redis,访问数据库20次