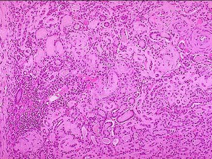
老年女尸,双肾大体如图所示,镜下如图所示,关于该疾病下列说法正确的是 ( )A.为各种不同类型肾炎发展的最后阶段B.肾小球不会发生玻璃样变和硬...

作者: rantiku 人气: - 评论: 0
问题 老年女尸,双肾大体如图所示,镜下如图所示,关于该疾病下列说法正确的是 ( )
选项 A.为各种不同类型肾炎发展的最后阶段 B.肾小球不会发生玻璃样变和硬化 C.为老年人肾的正常改变 D.常引起急性肾功能衰竭 E.通过治疗,该疾病可以逆转
答案 A
解析

猜你喜欢

发表评论
更多 网友评论0 条评论)
暂无评论

访问排行

Copyright © 2012-2014 恰考网 Inc. 保留所有权利。 Powered by tikuer.com

页面耗时0.0514秒, 内存占用1.03 MB, Cache:redis,访问数据库18次