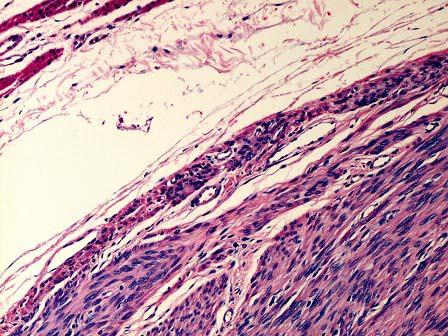
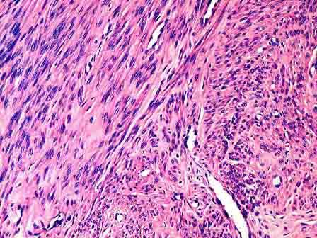
女性,40岁,下腹部肿块。B超示子宫多发性平滑肌瘤,手术切除。见子宫肌层多个结节,大者直径8cm,小者直径0.5cm,境界清,切面灰白,编织状,质韧。大体...

作者: rantiku 人气: - 评论: 0
问题 女性,40岁,下腹部肿块。B超示子宫多发性平滑肌瘤,手术切除。见子宫肌层多个结节,大者直径8cm,小者直径0.5cm,境界清,切面灰白,编织状,质韧。大体及镜下如图所示,应诊断为 ( )
选项 A.子宫平滑肌瘤(黏膜下型) B.子宫平滑肌瘤(肌间型) C.子宫平滑肌瘤(浆膜下型) D.子宫腺肌瘤 E.以上均不是
答案 B
解析

猜你喜欢

发表评论
更多 网友评论0 条评论)
暂无评论

访问排行

Copyright © 2012-2014 恰考网 Inc. 保留所有权利。 Powered by tikuer.com

页面耗时0.0547秒, 内存占用1.03 MB, Cache:redis,访问数据库14次