女性,45岁,发现右下腹鸡蛋大肿物3月,行手术切除。大体见右卵巢囊性肿块5cm×5cm×4cm,包膜完整,切开内含大量皮脂、毛发,囊壁较光滑。显微镜下见角...

作者: rantiku 人气: - 评论: 0
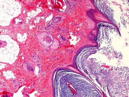
问题 女性,45岁,发现右下腹鸡蛋大肿物3月,行手术切除。大体见右卵巢囊性肿块5cm×5cm×4cm,包膜完整,切开内含大量皮脂、毛发,囊壁较光滑。显微镜下见角化鳞状上皮、丰富的皮脂腺、毛囊(如图)。诊断为 ( )
选项 A.卵巢黏液性囊腺瘤 B.卵巢成熟性囊性畸胎瘤 C.卵巢成熟性实性畸胎瘤 D.卵巢未成熟性畸胎瘤 E.卵巢胚胎性畸胎瘤
答案 B
解析

猜你喜欢

发表评论
更多 网友评论0 条评论)
暂无评论

访问排行

Copyright © 2012-2014 恰考网 Inc. 保留所有权利。 Powered by tikuer.com

页面耗时0.0545秒, 内存占用1.03 MB, Cache:redis,访问数据库15次