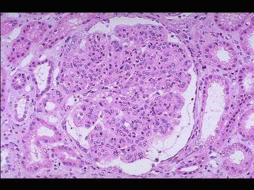
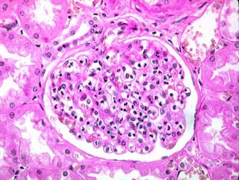
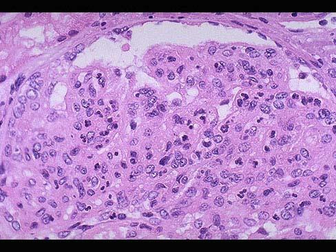
患者男性,10岁,3周前咽痛,近1周出现腰区疼痛,浮肿尿少,尿蛋白(+),尿红细胞1025/HP,红细胞管型01/HP。肾穿刺活检镜下如图所示,该患者所患...

作者: rantiku 人气: - 评论: 0
问题 患者男性,10岁,3周前咽痛,近1周出现腰区疼痛,浮肿尿少,尿蛋白(+),尿红细胞1025/HP,红细胞管型01/HP。肾穿刺活检镜下如图所示,该患者所患的疾病为 ( )
选项 A.隐匿性肾炎 B.慢性肾小球肾炎 C.急性弥漫性增生性肾小球肾炎 D.急进性肾小球肾炎 E.急性肾盂肾炎
答案 C
解析

猜你喜欢

发表评论
更多 网友评论0 条评论)
暂无评论

访问排行

Copyright © 2012-2014 恰考网 Inc. 保留所有权利。 Powered by tikuer.com

页面耗时0.0389秒, 内存占用1.03 MB, Cache:redis,访问数据库20次