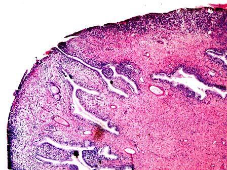
女性,26岁,孕5周,药流手术后。妇科检查宫颈光滑,宫口突出一舌状小指甲大小物。显微镜下大部分为肉芽组织,其表面被覆少许鳞状上皮(如图)。最适当的诊断为 ...

作者: rantiku 人气: - 评论: 0
问题 女性,26岁,孕5周,药流手术后。妇科检查宫颈光滑,宫口突出一舌状小指甲大小物。显微镜下大部分为肉芽组织,其表面被覆少许鳞状上皮(如图)。最适当的诊断为 ( )
选项 A.慢性子宫颈炎 B.子宫颈息肉 C.子宫颈腺瘤 D.子宫颈平滑肌瘤 E.子宫颈鳞状细胞癌
答案 B
解析

猜你喜欢

发表评论
更多 网友评论0 条评论)
暂无评论

访问排行

Copyright © 2012-2014 恰考网 Inc. 保留所有权利。 Powered by tikuer.com

页面耗时0.0562秒, 内存占用1.03 MB, Cache:redis,访问数据库13次