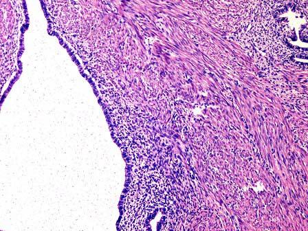
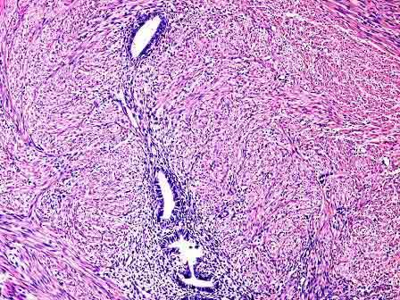
女性,38岁,痛经,B超提示子宫偏大,诊刮子宫内膜呈单纯性增生,行次全子宫切除,大体见肌壁间一结节3cm×3cm×2cm,境界欠清,质地中等偏软,灰红,显...

作者: rantiku 人气: - 评论: 0
问题 女性,38岁,痛经,B超提示子宫偏大,诊刮子宫内膜呈单纯性增生,行次全子宫切除,大体见肌壁间一结节3cm×3cm×2cm,境界欠清,质地中等偏软,灰红,显微镜检查见子宫肌层中出现子宫内膜样腺体及间质(如图),诊断为 ( )
选项 A.子宫内膜单纯性增生 B.子宫内膜复杂性增生 C.子宫内膜非典型增生 D.子宫内膜腺癌 E.子宫内膜腺肌瘤
答案 E
解析

猜你喜欢

发表评论
更多 网友评论0 条评论)
暂无评论

访问排行

Copyright © 2012-2014 恰考网 Inc. 保留所有权利。 Powered by tikuer.com

页面耗时0.0343秒, 内存占用1.03 MB, Cache:redis,访问数据库18次