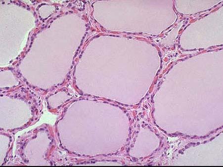
正常甲状腺镜下如图所示,不正确的叙述是 ( )A.甲状腺基本功能单位是甲状腺滤泡B.滤泡由单层立方上皮组成C.滤泡腔内含胶质D.滤泡间...

作者: rantiku 人气: - 评论: 0
问题 正常甲状腺镜下如图所示,不正确的叙述是 ( )
选项 A.甲状腺基本功能单位是甲状腺滤泡 B.滤泡由单层立方上皮组成 C.滤泡腔内含胶质 D.滤泡间血管非常丰富 E.正常情况下有大量淋巴细胞聚集
答案 E
解析

猜你喜欢

发表评论
更多 网友评论0 条评论)
暂无评论

访问排行

Copyright © 2012-2014 恰考网 Inc. 保留所有权利。 Powered by tikuer.com

页面耗时0.0405秒, 内存占用1.03 MB, Cache:redis,访问数据库17次