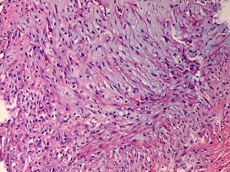
某患者行二尖瓣置换术,二尖瓣的镜下改变如图所示,可见灰蓝色黏液样基质,发生了何种变性 ( )A.玻璃样变B.淀粉样变C.色素沉着D.黏液样...

作者: rantiku 人气: - 评论: 0
问题 某患者行二尖瓣置换术,二尖瓣的镜下改变如图所示,可见灰蓝色黏液样基质,发生了何种变性 ( )
选项 A.玻璃样变 B.淀粉样变 C.色素沉着 D.黏液样变性 E.水变性
答案 D
解析

猜你喜欢

发表评论
更多 网友评论0 条评论)
暂无评论

访问排行

Copyright © 2012-2014 恰考网 Inc. 保留所有权利。 Powered by tikuer.com

页面耗时0.0463秒, 内存占用1.03 MB, Cache:redis,访问数据库18次