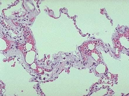
一老人车祸时发生左股骨粉碎性及开放性骨折,在送医院的途中突发发绀、呼吸困难,口吐白沫而死亡,图为尸检后肺部病变组织镜下观肺泡壁血管腔内见大空泡形成。其死亡...

作者: rantiku 人气: - 评论: 0
问题 一老人车祸时发生左股骨粉碎性及开放性骨折,在送医院的途中突发发绀、呼吸困难,口吐白沫而死亡,图为尸检后肺部病变组织镜下观肺泡壁血管腔内见大空泡形成。其死亡原因可能是 ( )
选项 A.气体栓塞 B.血栓栓塞 C.心力衰竭 D.脂肪栓塞 E.以上都不是
答案 D
解析

猜你喜欢

发表评论
更多 网友评论0 条评论)
暂无评论

访问排行

Copyright © 2012-2014 恰考网 Inc. 保留所有权利。 Powered by tikuer.com

页面耗时0.0627秒, 内存占用1.03 MB, Cache:redis,访问数据库15次