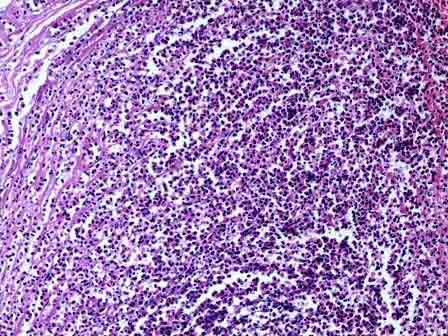
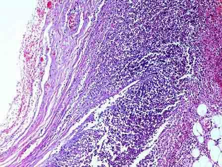
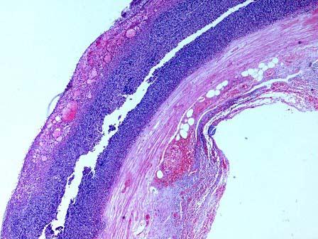
患者男性,42岁,持续性剧烈腹痛3小时伴恶心、呕吐,拟诊“急性阑尾炎”手术。术中见阑尾呈紫黑色,根部破裂。镜检如图,应诊断为 ( )A.急性蜂...

作者: rantiku 人气: - 评论: 0
问题 患者男性,42岁,持续性剧烈腹痛3小时伴恶心、呕吐,拟诊“急性阑尾炎”手术。术中见阑尾呈紫黑色,根部破裂。镜检如图,应诊断为 ( )
选项 A.急性蜂窝织性阑尾炎伴穿孔 B.坏疽性阑尾炎伴穿孔 C.慢性阑尾炎伴穿孔 D.阑尾脓肿 E.阑尾腺瘤
答案 B
解析

猜你喜欢

发表评论
更多 网友评论0 条评论)
暂无评论

访问排行

Copyright © 2012-2014 恰考网 Inc. 保留所有权利。 Powered by tikuer.com

页面耗时0.0338秒, 内存占用1.03 MB, Cache:redis,访问数据库19次