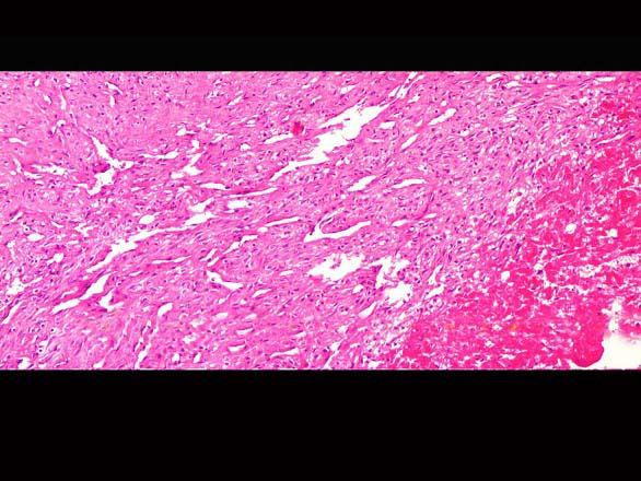
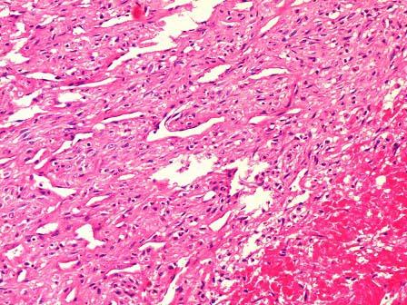
患者皮下(头皮)出现血肿,三周后血肿减小,质地变硬,切除镜检,皮下出血区减小,大部分为肉芽组织替代(如图所示),这种现象为 ( )A.肉芽组织形成...

作者: rantiku 人气: - 评论: 0
问题 患者皮下(头皮)出现血肿,三周后血肿减小,质地变硬,切除镜检,皮下出血区减小,大部分为肉芽组织替代(如图所示),这种现象为 ( )
选项 A.肉芽组织形成 B.肉芽肿形成 C.慢性溃疡形成 D.血肿机化 E.血栓纤维化
答案 D
解析

猜你喜欢

发表评论
更多 网友评论0 条评论)
暂无评论

访问排行

Copyright © 2012-2014 恰考网 Inc. 保留所有权利。 Powered by tikuer.com

页面耗时0.0457秒, 内存占用1.03 MB, Cache:redis,访问数据库20次