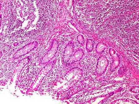
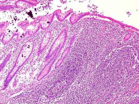
患者女性,35岁,右下腹隐痛1个月,既往有阑尾炎发作史,经保守治疗控制。切除阑尾送检,镜下如图所示,应诊断为 ( )A.急性蜂窝织性阑尾炎B....

作者: rantiku 人气: - 评论: 0
问题 患者女性,35岁,右下腹隐痛1个月,既往有阑尾炎发作史,经保守治疗控制。切除阑尾送检,镜下如图所示,应诊断为 ( )
选项 A.急性蜂窝织性阑尾炎 B.坏疽性阑尾炎 C.慢性阑尾炎 D.阑尾脓肿 E.阑尾腺瘤
答案 C
解析

猜你喜欢

发表评论
更多 网友评论0 条评论)
暂无评论

访问排行

Copyright © 2012-2014 恰考网 Inc. 保留所有权利。 Powered by tikuer.com

页面耗时0.0559秒, 内存占用1.03 MB, Cache:redis,访问数据库18次