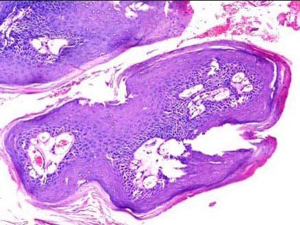
患者,男,8岁,进行性声嘶4天,喉镜见声门区乳头状肿物三枚,淡红色,约0.2cm×0.5cm×0.6cm至1.4cm×1cm×0.8cm,基底部较宽,摘除...

作者: rantiku 人气: - 评论: 0
问题 患者,男,8岁,进行性声嘶4天,喉镜见声门区乳头状肿物三枚,淡红色,约0.2cm×0.5cm×0.6cm至1.4cm×1cm×0.8cm,基底部较宽,摘除活检,镜下如图所示,该患儿的正确诊断是 ( )
选项 A.声带小结 B.喉血管瘤 C.喉神经纤维瘤 D.喉纤维瘤 E.喉乳头状瘤
答案 E
解析

猜你喜欢

发表评论
更多 网友评论0 条评论)
暂无评论

访问排行

Copyright © 2012-2014 恰考网 Inc. 保留所有权利。 Powered by tikuer.com

页面耗时0.0522秒, 内存占用1.03 MB, Cache:redis,访问数据库20次