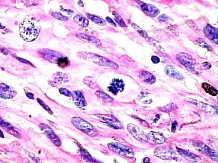
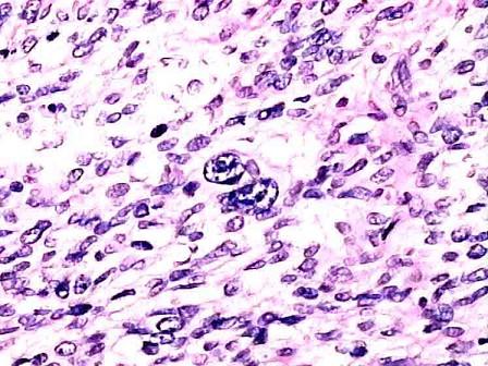
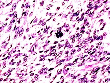
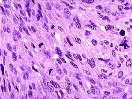
图为纤维肉瘤之镜下观,有关其异型性错误的描述是 ( )A.肿瘤细胞呈束状排列B.肿瘤细胞丰富,排列紧密C.肿瘤细胞体积大,并且大小...

作者: rantiku 人气: - 评论: 0
问题 图为纤维肉瘤之镜下观,有关其异型性错误的描述是 ( )
选项 A.肿瘤细胞呈束状排列 B.肿瘤细胞丰富,排列紧密 C.肿瘤细胞体积大,并且大小不一 D.可见病理性核分裂像 E.肿瘤细胞核与胞浆比例正常
答案 E
解析

猜你喜欢

发表评论
更多 网友评论0 条评论)
暂无评论

访问排行

Copyright © 2012-2014 恰考网 Inc. 保留所有权利。 Powered by tikuer.com

页面耗时0.1035秒, 内存占用1.03 MB, Cache:redis,访问数据库18次