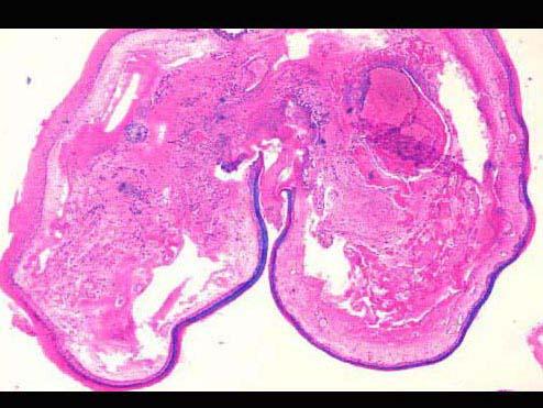
患者,男,40岁,声嘶1周,喉镜见左侧声带前1/3和后2/3交界处有一黄白色圆形肿物,约1.3cm×1cm×0.7cm大小,活检镜下如图,该患者的正确诊断...

作者: rantiku 人气: - 评论: 0
问题 患者,男,40岁,声嘶1周,喉镜见左侧声带前1/3和后2/3交界处有一黄白色圆形肿物,约1.3cm×1cm×0.7cm大小,活检镜下如图,该患者的正确诊断是 ( )
选项 A.声带息肉 B.声带小结 C.喉纤维瘤 D.喉血管瘤 E.声带癌
答案 A
解析

猜你喜欢

发表评论
更多 网友评论0 条评论)
暂无评论

访问排行

Copyright © 2012-2014 恰考网 Inc. 保留所有权利。 Powered by tikuer.com

页面耗时0.1025秒, 内存占用1.03 MB, Cache:redis,访问数据库19次