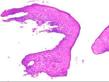
患者,女,35岁,大学教师,声嘶三天,喉镜下双侧声带分别可见灰白色圆形肿物一枚,约0.7cm×0.6cm×0.5cm至1cm×0.5cm×0.4cm大小(...

作者: rantiku 人气: - 评论: 0
问题 患者,女,35岁,大学教师,声嘶三天,喉镜下双侧声带分别可见灰白色圆形肿物一枚,约0.7cm×0.6cm×0.5cm至1cm×0.5cm×0.4cm大小(如图),活检镜下如图所示,最佳的诊断是 ( )
选项 A.声带息肉 B.声带小结 C.喉纤维瘤 D.喉血管瘤 E.声带癌
答案 B
解析

猜你喜欢

发表评论
更多 网友评论0 条评论)
暂无评论

访问排行

Copyright © 2012-2014 恰考网 Inc. 保留所有权利。 Powered by tikuer.com

页面耗时0.0553秒, 内存占用1.03 MB, Cache:redis,访问数据库20次