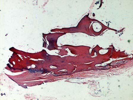
患者,女,18岁,额头一无痛骨性肿块,大小2cm×1cm×1cm,出于美容的角度考虑予以切除,病检如图1、2所示,主要由成熟的骨质组成,但失去正常骨质的结...

作者: rantiku 人气: - 评论: 0
问题 患者,女,18岁,额头一无痛骨性肿块,大小2cm×1cm×1cm,出于美容的角度考虑予以切除,病检如图1、2所示,主要由成熟的骨质组成,但失去正常骨质的结构和排列方向。正确的病理诊断是 ( )
选项 A.软骨瘤 B.骨样骨瘤 C.骨瘤 D.骨软骨瘤 E.骨囊肿
答案 C
解析

猜你喜欢

发表评论
更多 网友评论0 条评论)
暂无评论

访问排行

Copyright © 2012-2014 恰考网 Inc. 保留所有权利。 Powered by tikuer.com

页面耗时0.0490秒, 内存占用1.03 MB, Cache:redis,访问数据库19次