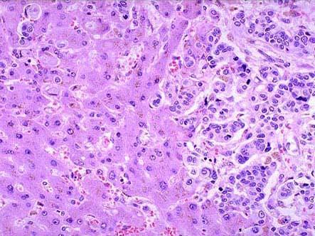
死者,女性,76岁,死于晚期胃癌恶病质。尸检见肝脏表面多发性边界清楚结节如图,镜检如图所示,肝脏的正确病理诊断为 ( )A.结节性肝硬化B.胃...

作者: rantiku 人气: - 评论: 0
问题 死者,女性,76岁,死于晚期胃癌恶病质。尸检见肝脏表面多发性边界清楚结节如图,镜检如图所示,肝脏的正确病理诊断为 ( )
选项 A.结节性肝硬化 B.胃的转移性肝癌 C.肝转移性胃癌 D.肝脓肿 E.肝细胞性肝癌
答案 C
解析

猜你喜欢

发表评论
更多 网友评论0 条评论)
暂无评论

访问排行

Copyright © 2012-2014 恰考网 Inc. 保留所有权利。 Powered by tikuer.com

页面耗时0.0304秒, 内存占用1.03 MB, Cache:redis,访问数据库17次